1. Vandal Random
  2. Noticias
  3. Científicos descubren que los nematodos pueden compartir recuerdos del peligro

Científicos descubren que los nematodos pueden compartir recuerdos del peligro

Un equipo de investigadores conformado por biólogos moleculares y genetistas determina que los nematodos 'C. elegans' son capaces de advertir a otros de su especie de gérmenes peligrosos.
Científicos descubren que los nematodos pueden compartir recuerdos del peligro
·
Actualizado: 16:04 28/1/2025
científicos
gusanos
nematodos
peligro
recuerdos

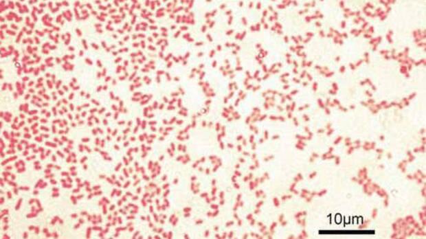
Un equipo de científicos investigadores, conformado mayoritariamente por biólogos moleculares y genetistas de la Universidad de Princeton, ha descubierto recientemente una característica muy particular de los nematodos C. elegans que permite su reproducción y supervivencia. Por sorprendente que parezca teniendo en cuenta de la especie de la que hablamos, estos gusanos redondos pueden advertir a la progenie y a otros miembros de la especie para que estos eviten un germen muy peligroso para ellos que podéis ver a continuación a tamaño microscópico (vía Gizmodo).

bacterias

Los nematodos se caracterizan por ser extremófilos, una particularidad que les permite prosperar en condiciones que se podrían considerar letales para la mayoría de animales. A pesar de ello, siguen siendo una especie vulnerable a cierto tipo de amenazas, entre las que encontramos las infecciones bacterianas.

PUBLICIDAD

El equipo mencionado al comienzo del artículo ha realizado un estudio sobre cómo los C. elegans pueden transferir recuerdos de evitación horizontalmente, lo cual significa que no los transfieren a través de la herencia, sino a animales no relacionados.

Las probabilidades de transmitir la información se reducen con cada generación

"Descubrimos que un gusano puede aprender a evitar esta bacteria patógena y si trituramos ese gusano, o simplemente usamos el medio en el que nadan los gusanos, y le damos ese medio o el lisado del gusano triturado a gusanos ingenuos, esos gusanos ahora aprenden a evitar el patógeno también", explica Coleen Murphy, genetista de la Universidad de Princeton y coautor del estudio. Sin embargo, otras investigaciones anteriores determinaron que los C. elegans podrían compartir información a generaciones posteriores con el ARN. "No es exactamente como la herencia, porque con cada generación las posibilidades de transmitir esos cambios disminuyen", comentó el genetista del Instituto de Ciencia y Tecnología de Barcelona Ben Lehner al medio Gizmodo en 2017.

Descubrimos que un gusano puede aprender a evitar esta bacteria patógena (...) con cada generación las posibilidades de transmitir esos cambios disminuyen.

El equipo de científicos determinó que un elemento genético conocido como retrotransposón es el responsable de generar el recuerdo de peligro que se transmite de un gusano a otro. Esto indica, por tanto, que los nematodos que carecían de este retrotransposón específico fueron incapaces de transmitir a sus generaciones posteriores la información acerca de la bacteria. "Los hallazgos de Murphy son provocadores", sentenció Craig Mello, biólogo molecular de la Universidad de Massachusetts, quien no está relacionado con el estudio. "Este es otro episodio intrigante en un número creciente de estudios que han implicado que las señales de ARN sistémico influyen en el comportamiento transgeneracionalmente, y si este estudio es correcto, ahora incluso horizontalmente".

Gerard Martí
ERRORE

Más sobre Tecnología

RANDOM
Flecha subir